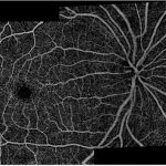
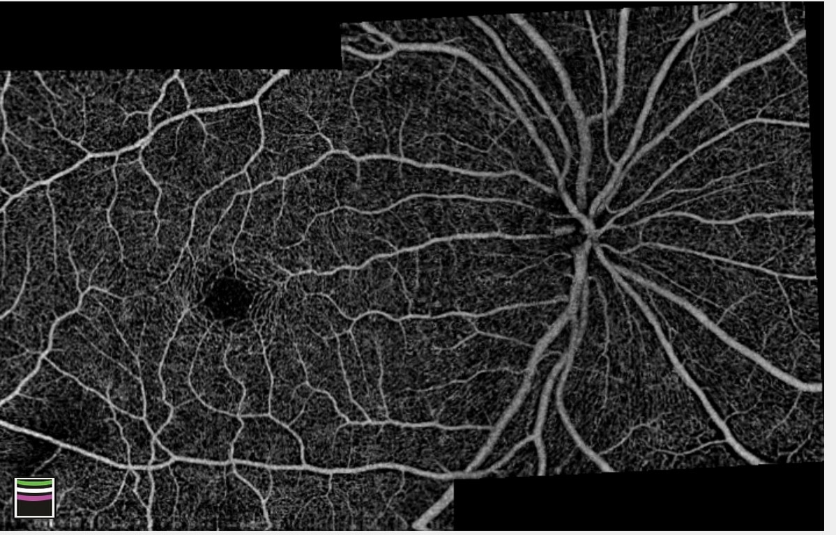
Angio-OCT
Angiografía de retina por tomografía de coherencia óptica (oct-a)
La OCT-A (Angiografía por Tomografía de Coherencia Óptica) es una técnica NO INVASIVA, rápida, precisa y sin riesgos, para evaluar la circulación de las estructuras de la retina. Una gran ayuda para el diagnóstico y tratamiento de enfermedades como la Retinopatía Diabética y la DMAE (Degeneración Macular asociada a la edad).
La OCT-A en el glaucoma nos permite hacer una evaluación y seguimiento de la microcirculación del nervio óptico.
La evaluación de la circulación en el polo posterior del globo ocular es crítica en la valoración clínica de los pacientes.
En la actualidad la angiografía con fluoresceína sódica (AGF) es la técnica de elección para el estudio de la circulación del polo posterior del globo ocular. Un método invasivo, donde es necesario inyectar un contraste en la circulación del paciente (fluoresceína sódica), con el riesgo de que ocurra una reacción alérgica general, que aunque muy infrecuente puede resultar fatal.
La OCT-A, es una nueva tecnología que permite hacer angiografía de coroides, retina y nervio óptico basada en tecnología de OCT. La OCT-A permite detectar el flujo vascular no solo en los grandes vasos de la coroides y de la retina, sino también en los capilares. Con esta tecnología no es necesaria la inyección de medios de contraste en la circulación del paciente para la adquisición de imágenes, lográndose imágenes de angiografía de alta resolución y en 3D.
Esta nueva técnica requiere de un cuidadoso estudio y comparación con la AGF, que es el método que hasta el momento provee más información.



